
Dr. Roxana Andreea Dogan
Cabinet Ortodonție și Ortopedie Dento-Facială, și servicii de Stomatologie Generală în Timișoara.
Probleme Dentare
Descoperă problemele dentare care pot afecta sănătatea orală și echilibrul mușcăturii.
Malpozițiie Dentare
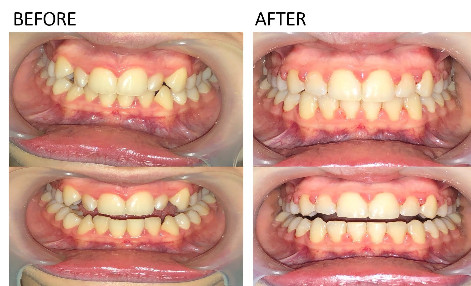
Dinți Poziționati Incorect pe ArcadăMalpozițiile dentare apar din cauza problemelor de spațiu. Lipsa de spațiu duce la înghesuiri dentare, iar excesul de spațiu la diasteme sau trieme.

Malocluziile Dentare
Mușcătura sau Contactul Incorect al DințilorMalocluziile dentare implică contacte și mușcături dezechilibrate. Acestea afectează armonia orală și pot provoca disconfort funcțional sau estetic.
Consecințe
Află cum malpozițiile și malocluziile netratate pot afecta sănătatea dentară și echilibrul general.- Carii Interdentare
- Probleme Parodontale
- Probleme de Deglutiție
- Probleme ale Articulației Temporo-Mandibulare
- Asimetrii Faciale
- Migrene
Aparate Dentare
Dispozitive ortodontice esențiale, total non-invazive, pentru alinierea corectă și sănătoasă a dinților.
Aparat Dentar Fix Metalic
Soluție de Încredere Pentru Alinierea DințilorAparatul fix metalic este durabil și eficient pentru corecții dentare. Este ideal pentru a ajuta dinții să stea corect pe arcadă.

Aparat Dentar Fix Safir
Opțiune mai Discretă Pentru un Zâmbet NaturalAparatul fix safir este transparent și se vede mai puțin, fiind o alegere ideală dacă vrei ca tratamentul să fie cât mai puțin vizibil.
Aparate Ortopedice
Dispozitive dentare non-invazive, special concepute pentru a corecta dezvoltarea maxilarelor și poziționarea dinților.
Activator
Corectează MandibulaGhidează creșterea mandibulei la copii cu retrognatie. Ajută maxilarele să se alinieze corect pentru o dezvoltare echilibrată.

Disjunctor / Expansor
Lărgește MaxilarulDispozitiv folosit pentru a extinde maxilarul superior. Creează spațiu pentru dinți și ajută la corectarea înghesuirilor dentare.

Plăcute Mobilizabile
Ajustează Dinții.Soluție flexibilă pentru alinierea dinților. Potrivită pentru corecții minore și ghidarea creșterii maxilarelor la copii.
Stomatologie Generală
În plus, o gamă completă de servicii dentare te ajută să menții sănătatea și frumusețea zâmbetului tău.
Chirurgie Dentară
Uneori, problemele dentare mai complexe necesită mici intervenții chirurgicale. Sunt proceduri realizate cu grijă pentru a asigura sănătatea dinților și gingiilor pe termen lung.

Implantologie
Implanturile dentare sunt o soluție durabilă pentru dinții lipsă. Acestea îți redau funcționalitatea și echilibrul zâmbetului, astfel încât să poți mesteca și zâmbi fără griji.

Endodonție
Dacă te confrunți cu dureri de dinți sau infecții, tratamentele de canal sunt soluția pentru a salva dintele afectat și a elimina disconfortul, păstrând sănătatea danturii.

Odontoterapie
Cariile și alte probleme dentare pot fi rezolvate prin tratamente de restaurare. Scopul nostru este să păstrăm dinții tăi sănătoși și funcționali, fără dureri.

Protetică Dentară
Coroanele, punțile și alte lucrări protetice te ajută să ai un zâmbet complet și funcțional. Aceste soluții îți oferă din nou stabilitate și confort în fiecare zi.

Estetică Dentară
Pentru un zâmbet cât mai frumos și natural, oferim albire dentară și alte tratamente estetice. Încrederea ta începe cu un zâmbet de care să fii mândru.
Tratamente
Rezultate remarcabile, obținute prin tratamente personalizate, cu dedicare și implicare pentru fiecare pacient.







Prețuri Accesibile
Aici găsești toate prețurile tratamentelor disponibile, prezentate clar și transparent, pentru informarea ta completă.Prețuri Ortodonție
Verifică lista completă de prețuri pentru aparate dentare și tratamente ortodontice. Transparența este importantă pentru mine, astfel încât să poți lua o decizie informată pentru sănătatea și aspectul zâmbetului tău.
Prețuri Stomatologie Generală
Consultă toate prețurile pentru serviciile de stomatologie generală pe care le ofer – de la consultații și igienizări, până la tratamente complexe. Fiecare tarif este afișat clar, pentru ca tu să știi exact la ce să te aștepți.
Ce Spun Pacienții
Testimoniale autentice ale pacienților, reflectă profesionalismul și grija oferite în fiecare etapă a tratamentului.Am avut 2 experiențe excelente cu dna Dr. Dogan Roxana. Prima este cu fetița mea pe partea de ortodonție unde rezultatul a fost peste așteptări, a meritat tot timpul și efortul depus pentru a avea dinții perfecți. A doua experiență este a mea pe partea de protetică dentară, o lucrare complexă, mi-a explicat toate tratamentele de care am nevoie pentru problemele mele și totul a decurs foarte bine, sunt extrem de mulțumită de lucrare. Dr. Roxana Dogan explică fiecare procedură, atentă la detalii, caută soluțiile cele mai bune, punctuală și foarte profi. Dr. Iuliu Morar, cel cu care colaborează dna doctor, un medic fain tare, cu multă răbdare, lucrează finuț. Cabinetul este primitor, curat și bine dotat. Mii de mulțumiri, recomand cu toată încrederea Dr. Roxana Dogan.
Ramona Gălătescu
Orțișoara, TimișDoamna doctor este dedicată și grijulie. Mereu este atentă și blândă când lucrează cu pacienții ei, oferindu-le o dantură minunată. De fiecare dată când am fost la aceasta, am plecat cu zâmbetul pe buze și niciodată nu am simțit frica de a merge la dentist.
Natalia Codreanu
Giarmata, TimișCabinetul este dotat cu aparatura de ultimă generație. Încă de la intrare ești întâmpinat de personalul cabinetului cu multă căldură și amabilitate. Doamna doctor Roxana este o profesionistă desăvârșită. Împreună cu întreaga familie mergem cu drag la cabinet. Copiii sunt încântați de modul în care sunt tratați.
Raluca Codreanu
Giarmata, TimișAm peste 10 ani de când merg la Doamna Dr. Roxana. Sunt foarte mulțumit de serviciile și atenția pe care le oferă unui pacient. Recomand cu încredere.
Andrei Stănciulescu
Timișoara, TimișDe mică am mers la doamna doctor, iar datorită grijii cu care lucrează și felului în care se comportă cu pacienții ei, m-a ajutat să nu am niciodată frica de a merge la dentist. De fiecare dată, aștept cu nerăbdare următoarea vizită.
Antonia Codreanu
Giarmata, TimișExperiența mea la acest cabinet stomatologic a fost una foarte bună, atât din punctul de vedere al profesionalismului, cât și al rezultatelor obținute. De-a lungul vizitelor, am beneficiat de mai multe tratamente (toate fără dureri), printre care montarea unui aparat dentar și detartraj. Încă de la prima vizită, am fost tratat într-un mod prietenos și atent. Montarea aparatului dentar a fost făcută cu multă grijă, iar medicul s-a asigurat că înțeleg cum să-l îngrijesc corect. Controalele periodice pentru ajustări au fost bine organizate și fără întârzieri. Rezultatul final este cu adevărat remarcabil – am obținut un zâmbet perfect și sunt extrem de mulțumit de alegerea făcută. Recomand cu toată încrederea acest cabinet oricui.
Alex Nicolescu
Timişoara, TimișAm avut o experiență extraordinară cu doamna Dr. Dogan Roxana, un adevărat profesionist care mi-a transformat complet zâmbetul. O recomand cu toată încrederea pe doamna doctor, pentru cine își dorește un zâmbet perfect! 🦷💗
Karolina Nan
Timişoara, TimișHai să ne Cunoaștem
Cabinet Ortodonție și Ortopedie Dento-Facială, și servicii de Stomatologie Generală — Dr. Roxana Andreea DoganOrar Cabinet
Luni | 14 – 19 |
Marți | 10 – 14 |
Miercuri | 14 – 19 |
Joi | 14 – 19 |
Vineri | 10 – 14 |